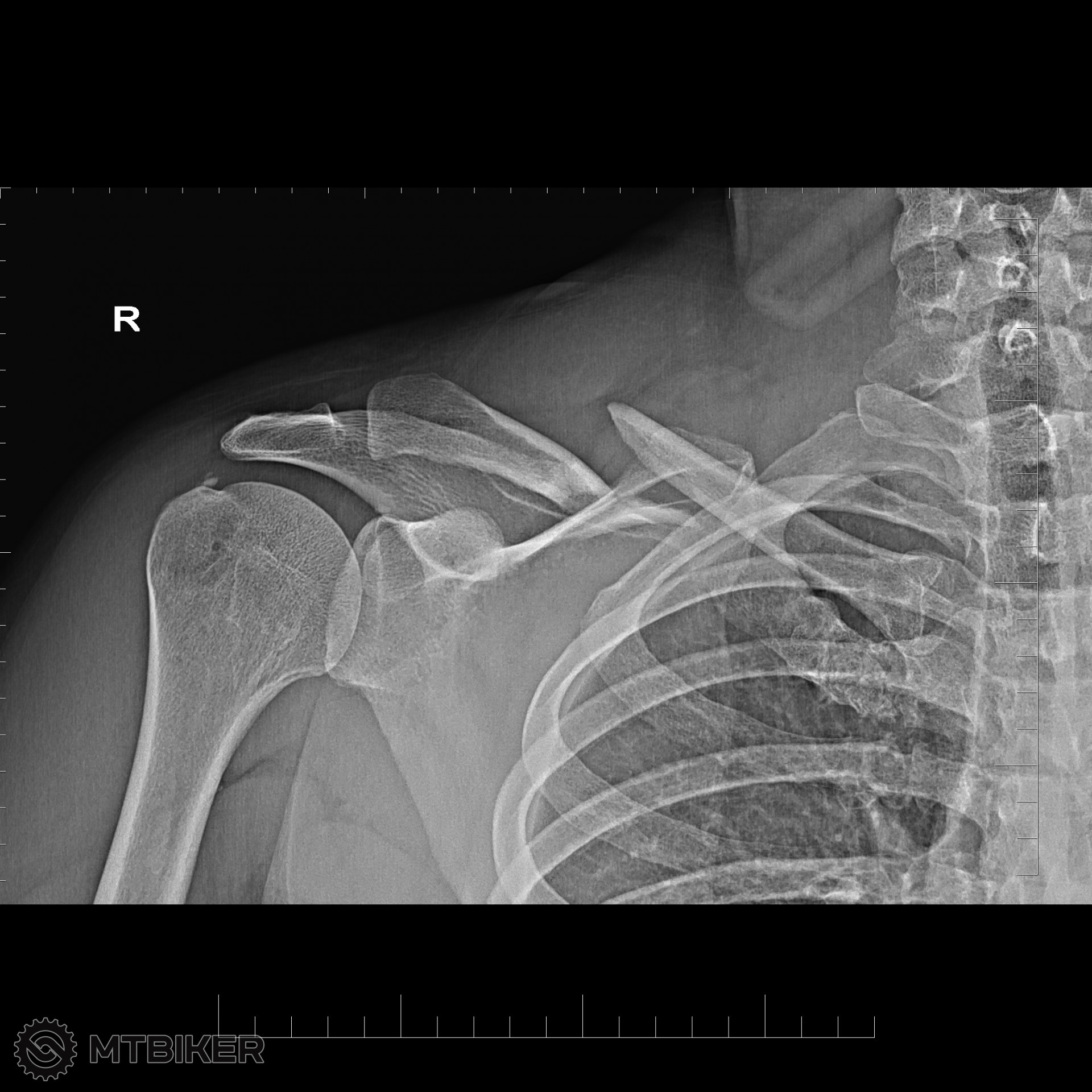
Takto som dopadol pri testovacom dni Orbea v Hradku... esteze som nemal kameru...
poukazy navigate_next Požičovňa Pozri si ponuku bicyklov ale aj inej výbavy a vytvor si online rezerváciu navigate_next
Takto som dopadol pri testovacom dni Orbea v Hradku... esteze som nemal kameru...
Momentálne sa tu nenachádzajú žiadne komentáre